Пациентка Г.В. 74 года
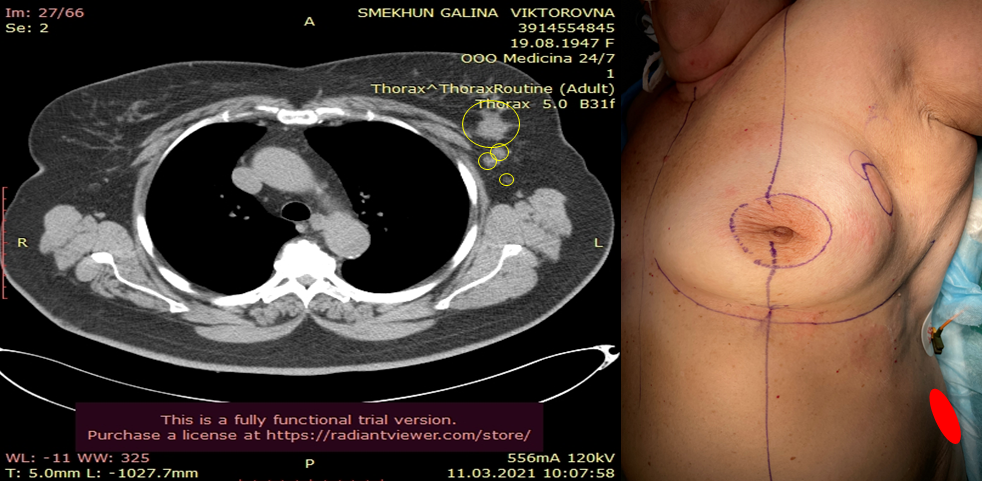
Диагноз: люминальный B, HER2 отрицательный тип, рак левой молочной железы T2N0M0 G2.
Диагноз: люминальный B, HER2 отрицательный тип, рак левой молочной железы T2N0M0 G2.
Операция: радикальная секторальная резекция левой молочной железы