Новости

Фоторепортаж операции: резекция части бедренной кости с онкологическим эндопротезированием

В случае онкологического заболевания в одном из парных органов, его удаление часто позволяет сохранить пациенту жизнь без ущерба для ее качества. Так, например, рак почки эффективно лечится ее удалением, при этом функциональная нагрузка перераспределяется на здоровую почку. Однако в случае с парными конечностями все не так однозначно — ампутация ноги ведет к значительной инвалидизации, депрессии и снижению качества жизни пациента. Для решения данных проблем около 60 лет назад начали применять онкологическое эндопротезирование — замена пораженных опухолью костей и суставов на искусственные конструкции. Клинический случай из моего фоторепортажа наглядно иллюстрирует тактику лечения пациента с учетом перечисленных приоритетов.

Описание клинического случая

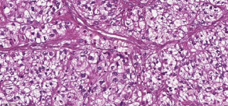
В 2007 году у мужчины была удалена почка по поводу онкологического заболевания. Однако через 10 лет были обнаружены метастазы в легких и левой бедренной кости. С помощью иммунотерапии удалось уменьшить очаги в легких, однако опухоль бедренной кости привела к ее патологическому перелому. На снимке видно густое сосудистое сплетение опухоли, которая прорасла в кость и стала причиной патологического перелома шейки бедра:

Такой перелом не срастается и вместе с опухолью обуславливает тяжелый хронический болевой синдром и дисфункцию конечности. В таких случаях показана операция: «резекция проксимальной части бедренной кости с онкологическим эндопротезированием».

Сложность операции обуславливалась тем, что удаление метастазов рака почки сопряжено с крупными кровопотерями. Такая опухоль активно выделяет сосудистый фактор роста и очень обильно кровоснабжается. Интраоперационную кровопотерю корректируют переливанием эритроцитарной массы, а эта процедура, в свою очередь, может осложнять клубочковую фильтрацию почек. Поэтому у возрастного пациента с одной почкой выполнять операцию подобного объема очень опасно — высок риск потерять единственную почку. Именно поэтому ему отказали в ведущих медицинских центрах Украины, РФ и Германии. Однако решительно настроенный мужчина все-таки нашел эксперта в лечении пациентов с такой сложной патологией — члена Восточно-европейской группы по изучению Сарком (EESG) — Петра Сергеева, хирурга-онколога клиники Медицина 24/7.

Этап организации доступа

Пациент уложен на правый бок, операционный доступ организуется с внешней стороны левого бедра. Длинна разреза — от проекции тазобедренного сустава до середины бедра. Вид сзади:

После рассечения кожи и жировой клетчатки хирург разрезает мышцы таким образом, чтобы минимизировать травматичность. От этого будет зависеть скорость последующей реабилитации.

Мышцы обильно кровоснабжаются, поэтому часто приходится работать элеткрокоагулятором:

К удаляемой части бедренной кости крепится несколько крупных мышц, а также сосуды и нервы. Их отделение занимает значительное время операции. На снимке показан момент отсечения связок ягодичных мышц, вид спереди:

Скелетипрована надкостница, бедренная кость готова к резекции.

Этап резекции части бедренной кости с опухолью

Хирургическая электрическая пила-дрель для обработки костей:

Процесс занимает меньше минуты.

В месте распила хирург берет образцы костного мозга и направляет в лабораторию, чтобы убедиться, что оставшаяся часть бедренной кости не содержит опухолевых клеток.

Резецированные связки и фрагмент бедренной кости удаляется вместе с опухолью без вскрытия оболочки кости. На фотографии показаны суставные поверхности тазобедренного сустава:

Хирург объясняет, что удаление большого объема мягких тканей вокруг опухоли снижает риск рецидива злокачественного заболевания.

Результаты гистологического исследования удаленного фрагмента кости: «Микроскопически: метастазы светлоклеточного почечноклеточного рака. Макроскопически: в мягких тканях определяется опухоль размерами 5.4 / 3.4 / 4 см белесоватого цвета с врастанием в кость на 1,5 см Расстояние до края резекции кости 3,5 см». То есть подтверждается, что источник метастаза — удаленная ранее почка, а место отпила выбрано правильно. Хирург прислал изображение клеток опухоли:

Этап эндопротезирования

Первые эндопротезы изготавливались заранее под индивидуальный заказ, что не позволяло хирургам пересмотреть планируемый размер резекции кости в ходе операции. Кроме того, необходимо было ждать изготовления изделия не менее 2-х месяцев, что не всегда приемлемо в онкологии. Современные модульные эндопротезы позволяют хирургу прямо во время операции собрать конструкцию с индивидуальными размерами, учитывающими конституцию пациента и особенности клинического случая. Металлические компоненты эндопротеза состоят из сплавов титана, алюминия и никеля, что обеспечивает высокую прочность, низкий вес конструкции, а также инертность в отношении биологических тканей.
Перед установкой эндопротеза костномозговой канал высверливается для удаления костного мозга.

Затем путем многократной обработки костномозговому каналу придается форма шестиугольника — как и у ножки эндопротеза. Такая форма увеличивает площадь контакта ножки эндопротеза с твердыми тканями и обеспечивает более надежную фиксацию.

Специальной насадкой на торце кости формируется фаска для плотного прилегания эндопротеза и равномерного распределения нагрузки:

Перед установкой эндопротеза проводится примерка с использованием набора временных компонентов разных размеров:

Временные элементы конструкции установлены для проведения примерки:

Пациента укладывают на спину, хирург оценивает симметрию и длину ног:

После примерки устанавливаются компоненты эндопротеза с нужными размерами. С учетом удовлетворительного состояния кости хирург принял решение об установке ножки эндопротеза с бесцементной фиксацией. Сначала в костномозговой канал устанавливается ножка эндопротеза. Она имеет матовое напыление гидроксиапатита, чтобы окружающие ткани лучше вросли и зафиксировали эндопротез:

Ножка устанавливается при помощи молотка:

Внешняя часть ножки эндопротеза с креплением:

К ножке фиксируется основной модуль:

К периметру вертлужной впадины тазовой кости пришивается синтетическая муфта-чулок, которая будет служить основой для формирования новой суставной сумки вокруг эндопротеза.

Затем на место удаленной головки бедренной кости в вертлужную впадину тазовой кости устанавливается вкладыш с головкой эндопротеза. Золотистый цвет головке придает напыление нитрида титана — гипоаллергенный и износостойкий материал:

Весь эндопротез укрыт муфтой:

Ранее отсеченные от удаленного фрагмента бедренной кости мышцы подшиваются к муфте. В процессе реабилитации соединительные ткани прорастут в волокна муфты, тем самым образовав прочный связочный аппарат, с помощью которого мышцы смогут вновь управлять конечностью.

Устанавливается дренаж для отведения экссудата лимфы и крови, а также для промывания операционной раны антисептиками с целью профилактики инфекционных осложнений.

Края кожи ушиваются с помощью хирургического степлера за 30 секунд:

После операции выполняется контрольный снимок эндопротеза в 2-х проекциях:

Благодарю команду хирурга-онколога Петра Сергеева за превосходную работу, а администрацию клиники Медицина 24/7 — за предоставленную возможность для фоторепортажа. В моем проекте «Фоторепортаж из операционной» свое мастерство демонстрируют только высококлассные хирурги. Какому хирургу доверились бы вы — готовому к публичной демонстрации своего мастерства или тому, которому есть что скрывать? Для меня ответ очевиден.

А пациенту давайте все вместе пожелаем сил и терпения, которые понадобятся ему для длительной реабилитации!

Через неделю после операции: